리앤리성형외과

리앤리성형외과   대표: 이정우   
주소: 서울시 서초구 강남대로 423 한승빌딩 5층 (쉑쉑버거 옆건물)
대표전화: 02-2138-1679   팩스: 02-2138-1653   사업자등록번호:221-15-10166

Copyright ⓒ 2025 RERUX.com. ALL RIGHTS RESERVED.

0%

수술후기

RE&RE PLASTIC SURGERY

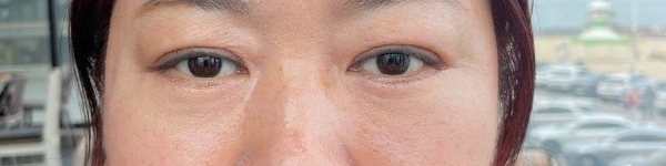
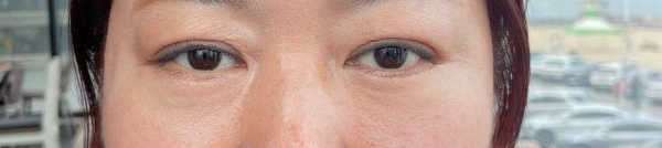
상안검+눈두덩이지방제거+하안검+중안면부리프팅+실리프팅

페이지 정보

profile_image
조회350회

바비톡에 소중한 후기를 남겨주셨습니다!

감사합니다.

e3a32980e575059c91182569613b0bab_1757394003_2388.png
e3a32980e575059c91182569613b0bab_1757394007_6016.jpg


e3a32980e575059c91182569613b0bab_1757394007_6258.jpg


e3a32980e575059c91182569613b0bab_1757394007_6708.jpg


e3a32980e575059c91182569613b0bab_1757394007_6944.jpg


e3a32980e575059c91182569613b0bab_1757394007_9162.jpg


e3a32980e575059c91182569613b0bab_1757394007_9436.jpg



상안검+눈두덩이지방제거+하안검+중안면부리프팅+실리프팅

리앤리성형외과 이정우원장님께 수술받은 50대입니다.

시간이 지날수록 점점 자연스러워지는게 눈에 확인이 가능할 정도입니다.

한달차 사진과 지금이 또 다르네요.

수술효과가 시간이 지날수록 만족스럽고 잘한거 같아요.

건너소개로 이정우원장님께 수술받길 잘한거도 같습니다.

점점 더 젊어지는 느낌이 들기도 해요

중년눈은 리앤리 이정우 강추에요^^

WORK HOUR
평       일
AM 10:00 ~ PM 07:00
토  요  일
AM 10:00 ~ PM 04:00

※ 금요일은 20:00까지 야간진료합니다.
※ 점심시간 없이 진료
※ 일요일, 공휴일 휴진

서울시 서초구 강남대로 423
한승빌딩 5층 (쉑쉑버거 옆건물)

강남역 2호선 10번 출구 (도보 3분)
신분당선 신논현역 7번 출구 (도보 6분)

[보기]
비용 문의
보기

회원로그인