리앤리성형외과

리앤리성형외과   대표: 이정우   
주소: 서울시 서초구 강남대로 423 한승빌딩 5층 (쉑쉑버거 옆건물)
대표전화: 02-2138-1679   팩스: 02-2138-1653   사업자등록번호:221-15-10166

Copyright ⓒ 2025 RERUX.com. ALL RIGHTS RESERVED.

0%

수술후기

RE&RE PLASTIC SURGERY

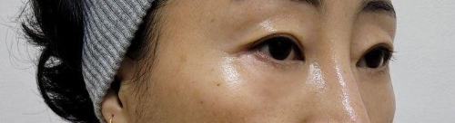
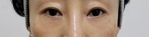
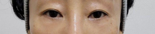
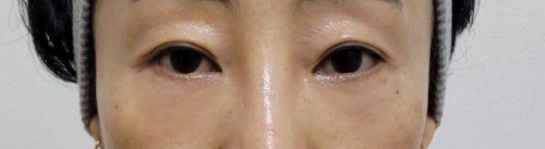
내추럴글램쌍꺼풀+눈두덩이지방이식+듀얼하안검+눈밑초미세지방이식

페이지 정보

profile_image
조회130회

바비톡에 소중한 후기를 남겨주셨습니다!

감사합니다.


6217f7ac59b48ee39885b91ef4f824ab_1757052191_0677.png



6217f7ac59b48ee39885b91ef4f824ab_1757052194_4268.jpg


6217f7ac59b48ee39885b91ef4f824ab_1757052194_4559.jpg


6217f7ac59b48ee39885b91ef4f824ab_1757052194_482.jpg


6217f7ac59b48ee39885b91ef4f824ab_1757052194_5112.jpg


6217f7ac59b48ee39885b91ef4f824ab_1757052194_5433.jpg


6217f7ac59b48ee39885b91ef4f824ab_1757052194_5686.jpg



중년눈성형 후기

부분절개+눈두덩이지방이식

듀얼하안검+눈밑세포지방이식


수술하고 남기는 두번째후기이고 세달입니다.

리앤리성형외과 이정우원장님한테 수술 받았습니다.

붓기가 더 빠지니까 더 자연스러워 보이고 시간이 지날수록 점점 더 만족스러워져요

전후 사진 비교하면 진짜 효과가 너무 큰거 같고

옆에 지인들이 모두 젊어졌다고 칭찬해주니 기분도 좋네요

나이드니까... 정말 어려보인다~ 젊어보인다 보다 듣기좋은말이 없는거 같아요

만족스럽고

중년눈성형은 저는 무조건 이정우원장님 추천입니다 

WORK HOUR
평       일
AM 10:00 ~ PM 07:00
토  요  일
AM 10:00 ~ PM 04:00

※ 금요일은 20:00까지 야간진료합니다.
※ 점심시간 없이 진료
※ 일요일, 공휴일 휴진

서울시 서초구 강남대로 423
한승빌딩 5층 (쉑쉑버거 옆건물)

강남역 2호선 10번 출구 (도보 3분)
신분당선 신논현역 7번 출구 (도보 6분)

[보기]
비용 문의
보기

회원로그인