상안검+세이프눈매교정+듀얼하안검+얼굴필러
페이지 정보

조회142회
바비톡에 소중한 후기를 남겨주셨습니다!
감사합니다.

전

전

후

후

후

후
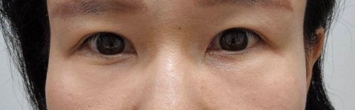
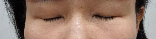
리앤리성형외과에서 어머님 중년눈 성형해드렸습니다
<상안검+눈매교정>
<듀얼하안검>
<얼굴필러>
이정우원장님께 수술받으셨고 설명도 친절하고 자세하게 해줘서 알아듣기 쉬웠습니다.
다른데와 달리 원장님께서 수술에 관한 모든상담을 직접 해줘서 더 믿음이 갔던거 같아요.
상담은 어머님 모시고 4군대 정도 다니고 결정했고 결정 잘한거 같아요
혈압도 좀 높은 편이였는데 수술전에 혈압낮춰주는 주사도 놔줘서 수술후 회복도 잘된 느낌인거 같아요.
일주일차때부터 효과는 나타났는거 같고 수술하고 오히려 편해졌다고 하세요^^
눈꺼풀이 처지면서 눈꼬리쪽이 눈물이 자주 고여서 진무를때가 많았었는데 수술하고는 눈물이 고이지 않아서 너무 좋다고 하시네요
어머님이 너무 만족해하셔서 뿌뜻하고요
리앤리성형외과 이정우원장님 눈수술로 유명한 이유있으신듯 합니다
- 이전글내추럴글램쌍꺼풀+세이프눈매교정+눈두덩이지방제거+앞트임+윗트임+안검내반교정 25.09.05
- 다음글눈재수술(내추럴글램쌍꺼풀+드라마틱쌍꺼풀) 25.09.05


EN
CN
JP