내추럴글램쌍꺼풀재수술+세이프눈매교정+눈두덩이지방이식+듀얼하안검+눈밑초미세지방이식
페이지 정보

바비톡에 소중한 후기를 남겨주셨습니다!
감사합니다.

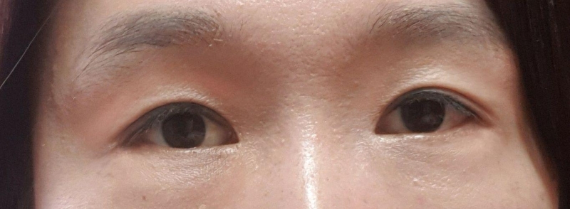
전

전

후

후

후

후

후
큰결심하고 이정우원장님께 눈재수술과 눈밑수술 함께 받은 후기 남겨봅니다.
첫쌍꺼풀수술때 쌍꺼풀라인을 너무 두껍고 높게 잡아서 눈이 졸려보이고
소세지눈처럼 보였지만 재수술도 두려워서 그냥 살았었는데
50대 되어가니 눈두덩이도 꺼지고 졸려보이고
눈밑은 다크써클때문에 울퉁불퉁해서 두번째로 성형수술 받는걸 결심하게 되었어요.
자연스럽게 수술하고 싶었고
쌍꺼풀 라인이 안보이더라도 또렸하고 어려보이는 눈이 되었으면 좋겠다는맘에
부분절개재수술+눈매교정+눈두덩이지방이식+듀얼하안검+눈밑세포단이지방이식
눈위,눈아래 수술 함께 리앤리성형외과 이정우원장님께 수술받았어요.
첫2주정도는 많이 부었었고
그후부터 붓기가 빠지기 시작했고 아직도 부어있긴 하지만 많이 빠졌어요.
쌍꺼풀라인은 낮아졌지만 꺼진눈두덩이 매꾸고 눈뜨는 힘이 생기니 수술전보다 눈이 더 커 보이고
다크써클도 없어지니 어려보이는거 같고 인상도 너무나 좋아진 기분이 들어요.
수술선택 잘한거 같고 이정우원장님께도 감사해요
- 이전글내추럴글램쌍꺼풀+앞트임 25.09.04
- 다음글내추럴7PIT자연유착+눈두덩이지방제거+윗트임+눈밑지방재배치 25.09.04


EN
CN
JP