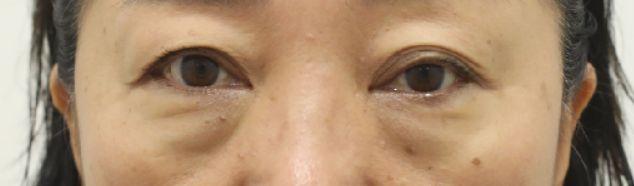
상안검+눈밑지방제거+눈두덩이지방재배치+세이프눈매교정+하안검+중안면부실리프팅
페이지 정보

조회333회
바비톡에 소중한 후기를 남겨주셨습니다!
감사합니다.

전

후

후

후

후

후
안녕하세요~ 리앤리성형외과 이정우원장님께
상안검+눈밑지방제거+눈두덩이지방재배치+눈매교정+하안검+중안면부실리프팅
받은 후기 입니다 저는 눈양쪽 비대칭, 라인 불규칙하고 눈 양쪽 크기가 달랐어요
양쪽 눈매 대칭 맞추고 개선하려고 수술을 했습니다
중년눈 잘하시는 분 알아보다가 이정우원장님에게 상담 받았는데
자연스러운 눈매를 선호한다고 말씀드렸고 잘 반영해주실거라 믿고있었어요~
지금 수술한지 얼마 안지났는데 첨에는 붓기랑 멍이 있었는데 시간 지나면서 자연스레 없어졌습니다
제가 원하던대로 또렷해졌어요 꾸준하게 시간 될 때 마다 병원 방문해서 경과도 보고
중간에 궁금한 것이 생기면 실장님에게 여쭤보기도 하면서 지냈내요
아직 잔붓기가 더 빠질거같긴한데 지금도 정말 만족합니다
- 이전글드라마틱쌍꺼풀+윗트임+밑트임 25.09.01
- 다음글자연유착+눈두덩이지방제거+세이프눈매교정+윗트임 25.09.01


EN
CN
JP