상안검+눈두덩이지방제거+듀얼하안검
페이지 정보

조회282회
바비톡에 소중한 후기를 남겨주셨습니다!
감사합니다.

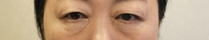
전

후

후

후

후
안녕하세요 후기 작성해봅니다 상안검/눈두덩이지방제거/듀얼하안검 받았어요
리앤리성형외과 이정우원장님한테 했습니다
원장님 후기를 많이 찾아봤는데 부담스럽지 않게 잘된분들이 많아서
결정했고 눈수술전문적으로 잘하시는분을 찾았습니다.
중년이다보니까 수술하고나서 사나워보이는것이 걱정이드라구요.
최대한 큰변화는없이 해달라고 했네요 .. 그리고 눈 위에가 처져서
눈이 무거웠어요 눈아래쪽부분도 같이 처지다보니까 눈이 정말 작아보여요..
이정우원장님에게 수술 받고나서는 많이 좋아졌고 또렷해 보입니다
눈을 뜰때에도 불편함이 없어졌어요 지금 한달좀되었는데 멍도 다 빠졌네요
좀 더 편안하게 지낼수있을거같습니다. 감사합니다.
- 이전글상안검+세이프눈매교정+윗트임 25.09.03
- 다음글내추럴7PIT자연유착+눈두덩이지방제거 25.09.02


EN
CN
JP