눈썹거상술+내추럴7PIT자연유착
페이지 정보

바비톡에 소중한 후기를 남겨주셨습니다!
감사합니다.

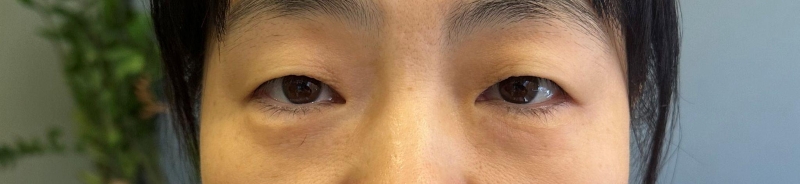
전

후

후

후

후

후
리앤리성형외과 이정우원장님께 눈썹거상술과 자연유착 쌍꺼풀받은 후기입니다
저는 눈처짐이 심한 편이여서 평소 거울볼때마다 너무 스트레스 받았어요.
나이들어보이는것도 너무 싫었고 자연스럽게 인상변화크게 없이 쌍꺼풀있게 눈위처짐 개선하고 싶었습니다.
여기 저기 상담은 좀 받아봤지만"아.여기다"라는 맘이 들지 않았었는데
이정우원장님 상담은 뭐랄까... '믿고 수술받을수 있겠다'라는 믿음이 생겨서 수술했어요.
불필요한건 권하지 않으시는것도 있지만 정말 필요한것만 젤 간단한 방법으로 추천해주시는거 같았어요.
상담실장님도 너무 친절하셨구요.
정말 수술한지 한달도 안되었지만 이정도면 정말 붓기 없는거 같구요
아직 아침이면 부어서 눈이 무겁긴 하지만 쌍꺼풀 라인도 자연스럽고 처진피부도 정리된건 확실해요
자연스럽게 인상 사나워 지지 않게 .. 수술원했었는데 정말 수술하고 다들 젊어졌다고 해서 더 기쁜거 같아요.
거울볼때 마다 수술잘한거 같고
더 이상 스트레스 안받아요
회복이 더 되면 더 자연스러워 질꺼 같고
저와 같은 고민가지고 있은 중년분들께 이정우원장님 정말 추천합니다
- 이전글드라마틱쌍꺼풀+윗트임 25.09.03
- 다음글내추럴7PIT자연유착눈재수술+세이프눈매교정+눈두덩이지방제거 25.09.03


EN
CN
JP