상안검+하안검+눈두덩이지방제거
페이지 정보

조회254회
바비톡에 소중한 후기를 남겨주셨습니다!
감사합니다.

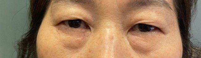
전

후

후

후

후
나이들면서 눈밑지방도 심해지고 눈두덩이 처짐도 심해졌어요
지방이 점점 커지는건지 인상이 너무 불만이 많은듯한 인상으로 변해가서
수술을 하게되었고 리앤리성형외과 이정우원장님에게 받았습니다.
다크서클까지 심해지는데 이대로 뒀다가는 너무 스트레스를 받을거같았어요
원장님에게 상안검 + 하안검 + 눈두덩지방제거 수술했어요
상담을 해주실 때 원장님께서 무척이나 꼼꼼하셔요 다른 원장님들과 다르게
금방 상담 하고 끝나느것이 아니라 하나하나 세심하게 봐주십니다.
수술하구 나서 잠깐동안 약간의 불편감은 있었지만 금방 사라져요
거의 다 아물기 시작하고 나면 서서히 눈매가 깨끗하게 펴진것을 알수있었습니다.
수술 받고 나서 젊어보이는게 가장 마음에듭니다. 원장님 고생하셨어요.
- 이전글내추럴7PIT자연유착+눈두덩이지방제거+윗트임 25.09.01
- 다음글내추럴7PIT자연유착+세이프눈매교정 25.09.01


EN
CN
JP