리앤리성형외과

리앤리성형외과   대표: 이정우   
주소: 서울시 서초구 강남대로 423 한승빌딩 5층 (쉑쉑버거 옆건물)
대표전화: 02-2138-1679   팩스: 02-2138-1653   사업자등록번호:221-15-10166

Copyright ⓒ 2025 RERUX.com. ALL RIGHTS RESERVED.

0%

수술후기

RE&RE PLASTIC SURGERY

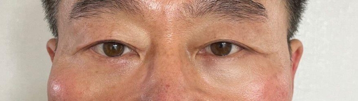
상안검+하안검+중안면부실리프팅

페이지 정보

profile_image
조회382회

바비톡에 소중한 후기를 남겨주셨습니다!

감사합니다.


515b06054f8f8e2d3268921aa3bde34d_1756704769_2683.png


515b06054f8f8e2d3268921aa3bde34d_1756704772_58.jpg


515b06054f8f8e2d3268921aa3bde34d_1756704772_5968.jpg


515b06054f8f8e2d3268921aa3bde34d_1756704772_6268.jpg


515b06054f8f8e2d3268921aa3bde34d_1756704772_6512.jpg


515b06054f8f8e2d3268921aa3bde34d_1756704772_6847.jpg


515b06054f8f8e2d3268921aa3bde34d_1756704772_7119.jpg




안녕하세요 저는 리앤리성형외과 이정우원장선생님에게

상안검 + 하안검 + 중안면부실리프팅 수술을 받았습니다.

원래는 수술 전 눈 위아래의 처짐 으로 인하여 스트레스가 있었습니다..

딸에게 물어보아 정보를 얻을수있었고 좋은 원장님 만나서 상담을 받은후에

수술까지 하게되었네요 .. 눈높이에 맞는 설명을 해주시어 저도 쉽게

이해를 하게되었습니다 수술은 안전한 환경에서 잘 이루어졌고

일정시간의 회복하는 기간을 지나면 효과가 나타납니다

눈매가 깔끔해지고 눈 뜨는 것이 편해졌습니다 고맙습니다

WORK HOUR
평       일
AM 10:00 ~ PM 07:00
토  요  일
AM 10:00 ~ PM 04:00

※ 금요일은 20:00까지 야간진료합니다.
※ 점심시간 없이 진료
※ 일요일, 공휴일 휴진

서울시 서초구 강남대로 423
한승빌딩 5층 (쉑쉑버거 옆건물)

강남역 2호선 10번 출구 (도보 3분)
신분당선 신논현역 7번 출구 (도보 6분)

[보기]
비용 문의
보기

회원로그인