상안검+세이프눈매교정+하안검+중안면부리프팅
페이지 정보

조회235회
바비톡에 소중한 후기를 남겨주셨습니다!
감사합니다.

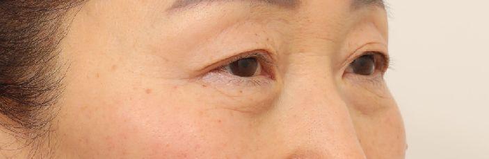
전

전

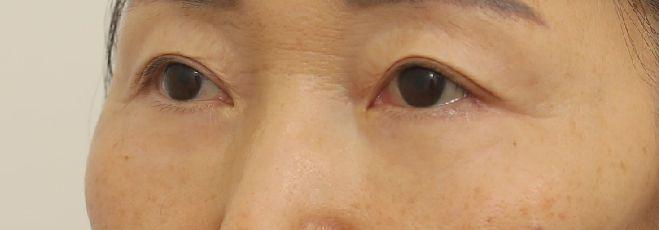
후

후

후

후
안녕하세요!
엄마 눈성형하고 남기는 후기입니다.
60대이시고 눈위,아래 처지기도 했고 어느순간부터 이마에 주름이 많이 생겼고
속눈썹이 눈을 계속 찔러서 눈물이 계속 고이셔서 수술하게 되었어요.
병원:리앤리성형외과
원장:이정우원장님
수술:상안검+눈매교정+하안검+중안면부리프팅
적당한 가격에 최고의 효과를 얻은거 같아 후기 몇자 써봅니다.
수술한지 아직 한달채 안되었고 붓기는 아직 많은 상태이지만 수술결과는 너무 좋아요
막 엄청 부리부리 하지않고 자연스럽고 인상이 더 좋아지긴 한거 같아요.
속눈썹이 찌르지 않으니까 눈물고이지 않아서 너무 편하다고 합니다
수술 잘받은거 같고
중년성형 고민이신분들께 도움이 될까 싶어 후기 몇자 남겼습니다
- 이전글상안검+듀얼하안검 25.09.09
- 다음글눈썹거상술+내추럴7PIT자연유착+하안검+중안면부리프팅 25.09.09


EN
CN
JP