상안검+듀얼하안검
페이지 정보

조회574회
바비톡에 소중한 후기를 남겨주셨습니다!
감사합니다.

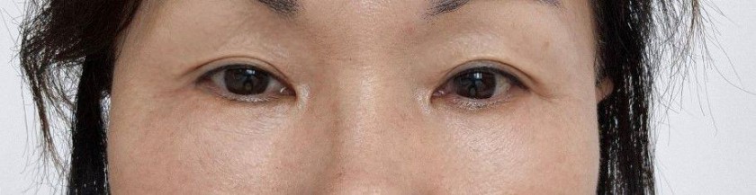
전
후

후

후

후

후
중년눈성형수술했어요
눈두덩이랑 눈밑이 처져서요.
눈두덩이는 처져서 겹주름이 양쪽 다르게 생기니 짝눈이 더 심해 보였고 삼각눈으로 눈이 점점 작아보이는것만 같았어요
눈밑은 불룩튀어나온 다크써클이 심했구요
전체적으로 나이 팍 들어보이는 눈같아서 수술결심했습니다.
사실 친구들도 성형수술 많이 해서 저도 수술할까 말까 생각이 계속 바뀔때 딸이 수술제안해서 수술 결심했어요
친구 세명이 같이 리앤리성형외과에서 했고 이정우원장님께 수술 받았습니다
상안검과 듀얼하안검수술~
인상이 젊게 확 바뀐듯 해요. 붓기도 많지도 않고 회복도 다른사람들 보다 좀 빠른 거 같아요.
돈도 비싸지 않고 고생없이 회복이 잘되고 있어
정말 가성비 좋은거 같고 만족도도 높은거 같습니다
- 이전글콧대+콧볼축소 25.09.09
- 다음글상안검+세이프눈매교정+하안검+중안면부리프팅 25.09.09


EN
CN
JP