상안검+세이프눈매교정+눈두덩이지방제거
페이지 정보

조회251회
바비톡에 소중한 후기를 남겨주셨습니다!
감사합니다.

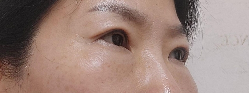
전

후

후

후

후

후
눈뜨는게 점점 힘들어서 수술했어요.
눈거풀이 점점 두꺼워지는거 같고 무겁고 너무 불편해서 인생첨으로 성형수술 생각해봤어요
후기사진 여기저기 많이 비교해봤고 상담은 신사에 3군대 정도 다니고
리앤리성형외과 이정우원장님한테 상안검, 눈매교정, 눈두덩이지방제거 수술받기로 결정하고 수술했어요.
수술시간은 한시간도 채 안되었던거 같고
수술하고 붓기는 있지만 눈뜨는게 정말 편해지긴했습니다.
붓기 빠지면서 점점 더 편해지고 있고요
눈은 정말 5배? 정도 커진 느낌이 들고 눈밑도 처졌는데 눈밑도 같이 할껄 후회가 좀 되네요
아주 잘 회복이 되고 있고 지금 붓기가 있어도 너무 만족합니다~
수술하고 눈도 커지고 젊음을 얻은기분입니다^^
- 이전글내추럴7PIT자연유착+세이프눈매교정 25.09.09
- 다음글콧대+콧볼축소 25.09.09


EN
CN
JP