상안검+눈두덩이지방재배치+듀얼하안검+뒷트임
페이지 정보

조회642회
바비톡에 소중한 후기를 남겨주셨습니다!
감사합니다.
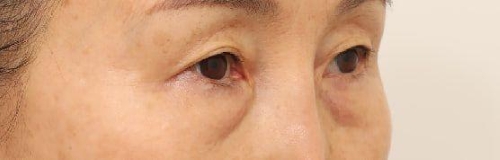
전

전

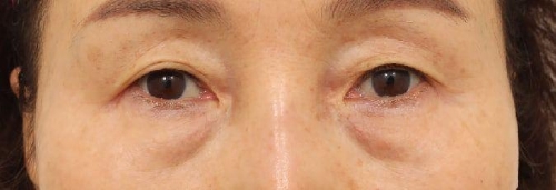
후

후

후

후

후
병원:리앤리성형외과
원장:이정우원장
수술:상안검,눈두덩이지방재배치,듀얼하안검,뒷트임
살면서 60대중반에 처음으로 성형수술해본 후기 남겨봅니다.
저는 눈부분 처짐과 답답함 때문에 수술했어요.
지역이 전라도이고 좀 멀긴 했지만 수술결과자 좋아서 힘든것도 다 잊고 아주 만족하고 있어요.
비용은 딸,사위가 대줬어요
젊음을 선물한다고 해서 뭔가 했더니 성형수술이였어요.
많이 걱정도 되었었지만 이제는 그 걱정에 대한 보상을 받는 기분이라고 생각이 되어요
상담하러 서울갔다
수술하러 서울갔다
실밥풀러 서울갔다
몇번 다녀오긴 했어요.
번거럽다는 생각이 들었지만 수술한번 잘하는게 더 중요하다고 생각되어 서울로 결정했어요.
만족하고 정말 저한테는 젊음이 최고의 선물인거 같네요.
- 이전글드라마틱쌍꺼풀+눈두덩이지방제거+윗트임 25.09.10
- 다음글드라마틱쌍꺼풀+세이프눈매교정+눈두덩이지방제거+앞트임 25.09.10


EN
CN
JP
