상안검+하안검
페이지 정보

조회657회
바비톡에 소중한 후기를 남겨주셨습니다!
감사합니다.

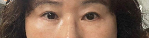
전

전

후

후

후

후

후
상안검,하안검 후기입니다.
시간 빠르네요... 이제 올해도 며칠남지 않았네요.
그래도 올해는 수술 잘받아서 나름 보람이 있는거 같습니다.
눈꺼풀이 처져서 눈뜰때 항상 이마를 써서 이마주름이 많아지기도 했고 불편하기도 해서
리앤리성형외과에 이정우원장님한테 상안검과 하안검 수술을 받았어요.
왠지 눈꺼풀만 하면 눈밑처짐과 다크써클이 또 고민일듯해서 수술하는김에 같이 받았어요.
지금은 수술한지 세달차이구요
효과는 아주 만족하고 있어요.
눈도 많이 커져보이고 시원해 보이며 이마주름도 많이 펴진 기분이 들어요.
정말 한살이라도 젊어져 보이고 싶었는데
수술하고 많이 젊어져보이는거 같아 기쁨니다.
- 이전글내추럴7PIT자연유착+세이프눈매교정+앞트임+눈두덩이지방제거 25.09.10
- 다음글드라마틱쌍꺼풀+눈두덩이지방제거 25.09.10


EN
CN
JP