상안검+세이프눈매교정
페이지 정보

조회245회
바비톡에 소중한 후기를 남겨주셨습니다!
감사합니다.

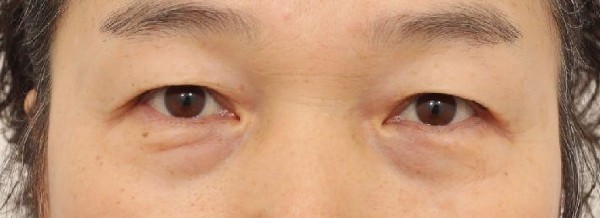
전

후

후

후

후

후
아예 성형에 대해서 알지도 못하고 한번도 생각해본적도 없다가
친구성형한거 보고 처진눈거풀이 너무 고민이여서 리앤리성형외과 이정우원장님께
상안감과 눈매교정수술받았습니다.
나이가 드니까 눈거풀이 점점 무거워지더라구요.
하안검도 같이 하고 싶었으나 하나하나 차츰차츰하자는 맘에 안했는데 이제와서 좀 후회가 되긴합니다.
수술할꺼면 한꺼번에 하는걸 추천해요.
처진눈꺼풀이 자연스럽게 정리가 되니 처진눈밑이 정말 거슬리더라구요.
모르면 그대로 살겠지만...알고는 거울볼때마다.. 생각하게 되네요
무튼 눈꺼풀 수술 잘되었고 지금은 한달이구
시간 좀 지나서 눈밑도 할거에요.
리앤리성형외과 이정우원장님 눈성형 잘하셔서 추천합니다
- 이전글듀얼하안검+중안면부리프팅+지방이식(이마) 25.09.12
- 다음글드라마틱쌍꺼풀+세이프눈매교정+눈두덩이지방제거+안검내반교정+콧대+코끝+비중격만곡증교정 25.09.10


EN
CN
JP